Fig. 4
From: Update on fetal cardiovascular magnetic resonance and utility in congenital heart disease

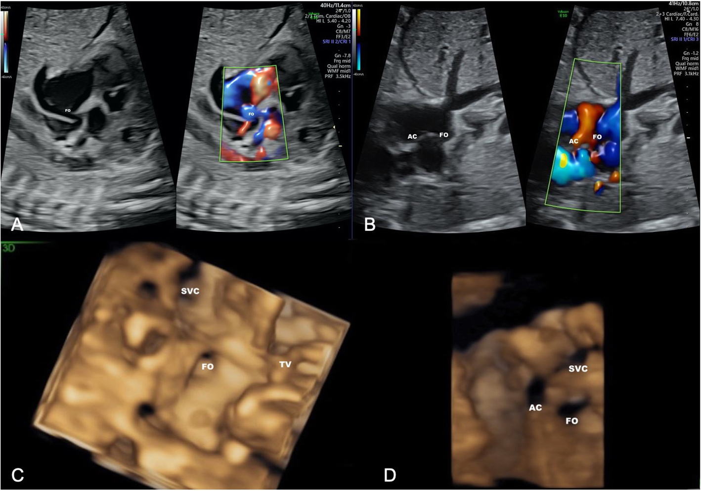
Echocardiography of the fetal heart in TGA IVS and RAS before and after fetal balloon atrial septostomy (BAS). Panel A and C represents limited blood flow across the small FO prior to BAS. Panel B and D represents blood flow across the restrictive FO and additional superior atrial communication (AC) after BAS. Panel A and B were acquired using 2-D echocardiography and Panel C and D were acquired using 3-D echocardiography. TGA, transposition of the great arteries; IVS, intact ventricular septum; RAS, restricted atrial septum; FO, foramen ovale; SVC, superior vena cava; TV, tricuspid valve